Similar Posts
Bangkok’s Neighborhood Inns (Soi 16)
ByadminI’ve had the luxury of staying at some wonderful 5 star hotels in Bangkok, and I promise to show you some more of those, and less expensive ideas at the end of this long post on Medical Tourism “Lite”. I found myself returning to my home away from home, the Park Plaza, where after…
KIDS ARTS CAMP! – Theater! – Art!
ByadminPatravadi Home for the Performing Arts in Bangkok and Hua Hin http://www.patravaditheatre.com/ Kids Art Camp in Hua Hin – Folks traveling with children may want to drop them off for day classes, or Vic Hua Hin Weekend School, Thailand is very kid friendly. You can park your child for a day or three, and know…
Spend the day out of town – but nearby – with an interesting stop for lunch.
ByadminThe historic Bridge on the River Kwai & Hellfire Pass, is a tour that will connect you to the history of Thailand. Here, you can learn more about the classic film, and Thailand’s role during WWII. Australia established a Memorial at Hellfire pass, dedicated to the Aussie’s who were tortured and died, then buried in…
Bangkok’s Neighborhood Parks – Benjakitti
ByadminOne of the many things to do while in Bangkok is to spend some time in their beautiful parks. Within blocks of the Park Plaza Hotel in Soi 16, is Benjakitti Park, where you can walk/jog, and along the way, stop at exercise pads, For about a dollar an hour, you can rent a bicycle. …
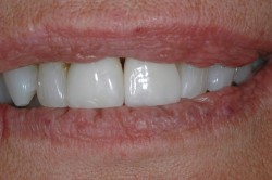
Medical Tourism “Lite” in Thailand
ByadminPURPOSE – To entertain, as well as educate readers about the beautiful Kingdom of Thailand, it’s people, culture and history. Our personal account might help you consider participating in the dental, health care and wellness options offered at bargain prices in Bangkok. Depending on the exchange rate, Medical procedures in Thailand can often save you 80%…
FOODLAND
ByadminAcross the overpass from the Park Plaza Hotel and Benjakitti Park is Foodland. Don’t let the front door fool you, inside are lots of wonderful things for sale: electrical converters, office supplies, local brews, sweets from all over the world, Baked goods, meats and local telephones. It’s also a great place to enjoy freshly cooked…



